39 KiB
Einführung in die Neurowissenschaft
Einführung
Was ist Neurowissenschaft?
Die Neurowissenschaft untersucht den Aufbau , die Funktion sowie die phylogenetische und ontogenetische Entwicklung des Nervensystems auf systemischer, zellulärer und molekularer Ebene. Damit sind die strukturellen Grundlagen und die physiologischen Mechanismen aller Leistungen des Nervensystems, einschließlich höherer kognitiver Funktionen, Gegenstand dieser Wissenschaft.
Neurowissenschaft / die Neurowissenschaften
- Neuroanatomie: untersucht Struktur auf allen Ebenen
- Neurophysiologie: untersucht Funktion auf allen Ebenen
- Neurologie: untersucht Erkrankungen des Nervensystems
- Biopsychologie: untersucht biologische Basis psychologischer Prozesse
(Das ist eine der möglichen Einteilungen!)
Beziehung zu anderen Lehrveranstaltungen
- Anatomie & Physiologie
- Allgemeine biologische Grundlagen
- Berührungspunkte besonders beim endokrinologischen System, Bewegungsapparat und Verdauungssystem
- Neurobiologische Informationsverarbeitung
- Neuronen: Funktionsweise/Aufbau
- Neuronale Schaltkreise
- Neuronale Modelle
- Neuroinformatik
- Neuronale Modelle
- Bildgebung, Messtechnik
- Messung von neurobiologischen Signalen
Das Nervensystem im Gesamtorganismus
- Das Nervensystem ist ein Organsystem der höheren Tiere
- Es realisiert eine Grundeigenschaft des Lebens: die Reizbarkeit
- Information aus der Umwelt und aus dem Organismus wird verarbeitet und in Verhalten umgesetzt.
Das Nervensystem im Gesamtorganismus
- Das Nervensystem interagiert eng mit allen anderen Organsystemen
- Eine besondere Rolle spielt das Hormonsystem (endokrines System)

Gliederung des Nervensystems
Zentrales Nervensystem (Gehirn und Rückenmark)
\leftrightarrowPeripheres Nervensystem\leftrightarrowSenso-motorisches Nervensystem (Afferenzen und Efferenzen)\leftrightarrowUmwelt
\leftrightarrowAutonomes Nervensystem (Afferenzen, symp. u. parasymp. Efferenzen)\leftrightarrowAndere Organsysteme
Zentrales Nervensystem
Sensomotorisches Nervensystem
- Efferenzen - vom ZNS zu Muskeln und Drüsen
- Afferenzen - von Sinnesrezeptoren zum ZNS
Autonomes Nervensystem
(auch vegetativ oder viszeral)
Zellen
Neuronen (Nervenzellen)
- Azevedo et al. J. Comp. Neurol. 2009
- im Hirn:
86*10^6 - im Cortex:
16*10^9
- im Hirn:
- Zellkörper mit Dendriten (Fortsätzen)
\rightarrowIntegration von Information - Axon/ Neurit (Nervenfaser)
\rightarrowWeiterleitung von Information - Synapse
\rightarrowÜbertragung von Information (elektrisch und chemisch)
Glia (im Hirn Anzahl etwa gleich der Anzahl der Neuronen)
- Informationsverarbeitung und -weiterleitung, zusammen mit Neuronen
- Stütz-und Transportfunktion
- Stoffwechselfunktion, Versorgung der Neuronen
- Abwehr-und Immunfunktion
- Bildung von Markscheiden (Isolation der Axone)
Gewebe
Zentralnervensystem
Peripheres Nervensystem
- Ganglien, Plexus (Neuron. Zellkörper + Glia)
- Nerven (Nervenfasern + Glia)
Mikroanatomische und physiologische Grundlagen
Zellen
75...100*10^{12}im Körper: Protoplasma, umgeben von Zellmembran- Zusammenschluss zu Geweben und Organen

- Nucleolus
- Zellkern
- enthält Erbinformation
- Ribosomen - Exprimierung der Erbinformation (Proteinsynthese)
- Vesikel - Speicherung und Transport von Substanzen (z.B. Proteine oder Neurotransmitter)
- raues endoplasmatisches Reticulum - vielfältige Aufgaben: Proteinsynthese, Ca-Speicherung, Enzym/Hormon-Bildung
- Golgi-Apparat
- Mikrotubuli
- glattes endoplasmatisches Retikulum - vielfältige Aufgaben: Proteinsynthese, Ca-Speicherung, Enzym/Hormon-Bildung
- Mitochondrien
- erzeugen Energie (ADP
\rightarrowATP) - Lysosom - Aufspaltung von Polymeren (,,Verdauung'')
- Zytosol - Zellflüssigkeit
- Peroxisom
- Zentriolen
Zellen im Nervensystem
- Nervengewebe
- Neuronen
- Glia
Neuronen
grundsätzlicher Aufbau
- Synapsen: Kontaktstellen zwischen Neuronen und anderen Neuronen oder Muskel/Drüsenzellen
- Zellmembran: Semipermeable Membran um das Neuron (Lipid-Doppelschicht - guter elektrischer Isolator)
- Axonshügel: Kegelförmiger Übergang zwischen Zellkörper und Axon
- Dendriten: Kurze, vom Zellkörper ausgehende Fortsätze, an denen die meiste synaptischen Impulsübertragungen von anderen Neuronen ankommen
- Axon: Langer dünner Fortsatz, der Information vom Neuron fortleitet
- Myelin: Lipidreiche Substanz, die viele Axone umgibt
- Ranviersche Schnürringe: Einschnürungen zwischen myelinisierten Abschnitten des Axons.Synapsen: Kontaktstellen zwischen Neuronen und anderen Neuronen oder Muskel/Drüsenzellen
morphologische Vielfalt
- Soma:
\O 5-100 \mu m - Dendriten: Länge einige
100\mu m - Axon: wenige
\mu mbis mehrere Meter. Kann stark verzweigt sein.
grundsätzliche Funktionsweise
- Membranruhepotential
~ -70 mV - Synapsen setzen Neurotransmitter frei
- Neurotransmitter durchqueren synaptischen Spalt und erhöhen oder verringern Membranpotential
\rightarrowPostsynaptische Potentiale mit zeitl./räuml. Ausdehnung\rightarrowräuml./zeitliche Integration von Input
- Bei Überschreitung einer Schwelle (
~ -65 mV) am Axonshügel wird ein Aktionspotential ausgelöst - AP pflanzt sich mit
0.3-100 m/sfort (aktive Übertragung) - Wenn das AP eine Synapse erreicht, werden Neurotransmitter ausgeschüttet.
Membranpotential
- Intrazellulärer Raum: Erhöhte Konzentration von K+ (20...100fach) und organischen Anionen
- Extrazellulärer Raum: Erhöhte Konzentration von Na+ (5...15fach) und Cl-(20...100fach)
- Ionenpumpen: halten Konzentrationsgefälle aufrecht
- Ruhe-Membranpotential -55...-100 mV (je nach Zelltyp)
Ionenaustausch
- Diffusion: Ionen, wie andere Teilchen auch, bewegen sich entlang des Konzentrationsgradienten
- Wenn die Membran für die jeweilige Ionenart durchlässig ist, bewegen sich K+ und A- aus der Zelle, sowie Na+ und Cl- in die Zelle
- Elektrischer Ionenstrom: Ionen sind geladene Teilchen und bewegen sich entlang des Potentialgradienten
- Wenn die Membran für die jeweilige Ionenart durchlässig ist, bewegen sich K+ und Na+ in die Zelle, sowie Cl- und A- aus der Zelle
- Aktiver Ionenaustausch: Ionen werden unter Energieverbrauch durch Ionenpumpen durch die Membran transportiert
- z.B. befördert die Natrium-Kalium-Pumpe unter ATP-Verbrauch K+ in die Zelle und Na+ heraus.
1.+2.: durch Ionenkanäle - spezielle Eiweißmoleküle in der Membran, gesteuert durch elektrische oder metabolische Prozesse
Aktionspotential
- Membranpotential wird angehoben.
- Bei etwa
-50..-60mV öffnen die Natriumkanäle und Na+ strömt in die Zelle - Membranpotential steigt plötzlich auf
+20..30mV\rightarrowDepolarisation - Nach ca. 1 ms schließen Natriumkanäle und Kaliumkanäle öffnen. K+ strömt aus der Zelle
- Membranpotential fällt, zunächst unter das Ausgangsniveau
\rightarrowRe/Hyperpolarisation
Wird das Membranpotential durch eine äußere Ursache über einen Schwellwert gehoben, regiert die Zelle mit einem kurzen nadelförmigen Impuls.
- Aktionspotentiale sind (für den gleichen Zelltyp) immer gleich
\rightarrowInformation ist in Impulsrate kodiert - Maximale Impulsrate ist etwa 500 pro Sekunde.
- Refraktärzeit: Unerregbarkeit der Zellen nach Auslösung eines AP
- Absolute Refraktärzeit: totale Unerregbarkeit, ca. 2 ms.
- Relative Refraktärzeit: Auslösung verkleinerter APs, mehrere ms.
Axonale Erregungsfortleitung
unmyelinisierte Axone
- Na+-Kanäle noch blockiert
\rightarrowkein neues Aktionspotential - Schwellwer überschritten
\rightarrowNa+ Kanäle öffnen, neues Aktionspotential
Aktionspotentiale breiten sich entlang von Axonen, in der Regel vom Axonshügel zur Synapse, aus.
- Warum nicht über Soma und Dendriten? Na+ Kanäle gibt es in der Regel nur am Axonshügel und Axon.
- Warum nur in eine Richtung? Na+ haben eine Refraktärzeit, die das Zurücklaufen der Welle verhindert.
- Ausbreitungsgeschwindigkeit hängt quadratisch von der Axonsdicke ab:
\O 1 \mu m\rightarrow 1 m/s; \O 2 \mu m\rightarrow 4 m/s
saltatorische Erregungsleitung
- Durchmesser des Axons: je größer der Durchmesser, desto schneller die Ausbreitung
- Umhüllung durch Myelinschicht (Markscheiden): Erregung springt von Schnürring zu Schnürring
\rightarrowSaltatorische Erregunsleitung - Myelinscheide: verhindert Ionenaustausch (Schwann-Zelle im PNS, Oligodendrozyt im ZNS)

Myelinscheiden

- gebildet von Oligodendrozyten im Gehirn und Rückenmark und von Schwann-Zellen in der Peripherie
- markhaltige (10...120 m/sek) und marklose (0,3...3 m/sek) Fasern
Klinik -> Multiple Sklerose:
- Abbau der Myelinschicht im ZNS
- Sensibilitätsstörungen, Muskelschwäche, Missempfindungen, Sehstörungen
- Ursachen unbekannt, wahrscheinlich Autoimmunerkrankung, Erbfaktor spielt eine Rolle
- befällt hauptsächlich Erwachsene zwischen 20 und 40 Jahren
Chemische Synapsen
Erreicht ein AP den Endknopf,
- $Ca^{2+}$-Kanäle öffnen sich,
Ca^{2+}strömt in die Zelle - Vesikel bewegen sich zur Membran und öffnen sich (Exocytose)
- Neurotransmitter werden ausgeschüttet, überqueren den synaptischen Spalt
- Neurotransmitter aktivieren Rezeptoren
- Ionenkanälen werden direkt oder indirekt beeinflusst.
- Beeinflussung des Membranpotentials (Postsynaptische Potentiale).
- Wiederaufnahme oder Abbau der Neurotransmitter
Gerichteter Informationstransfer von Zelle zu Zelle \rightarrow ,,Diodenfunktion''
Informationstransfer ist modifizierbar \rightarrow ,,Transistorfunktion''
Verfügbarkeit, Aktivierbarkeit und Wiederaufnahme von Neurotransmittern, Blockierung von Neurorezeptoren, usw.
präsynaptisch \rightarrow Informationsfluss \rightarrow postsynaptisch
- axo-dentritisch: enden auf dendritischen Dornen (spines);häufig
- axo-somatisch: häufig
- dendro-dentrisch: können Signale in beide Richtungen übertragen
- axo-axonisch: können präsynaptische Inhibition vermitteln
Ungerichtete Synapsen
Neurotransmittermoleküle werden diffus aus Erweiterungen entlang des Axons und seiner Verzweigungen freigesetzt.
Postsynaptisches Potential
V(t)=\sum_s w_s*K_s(t) \otimes m_s(t) mit
V(t): Potential Axonshügelw_s: synaptisches GewichtK_s: synaptische Antwortm_s: Impulsraten Synapsen\sum: räumliche Integration\otimes: zeitliche Integration
Depolarisation
- Reiz senkt Potential (
-70auf-67) - Feuerwahrscheinlichkeit
\uparrow
Hyperpolarisation
- Reiz hebt Potential (
-70auf-73) - Feuerwahrscheinlichkeit
\downarrow
Zeitliche und räumliche Integration
- Postsynaptische Potentiale sind abgestufte Antworten
- proportional zur Stärke des auslösenden Signals
- zwei simultane EPSPs addieren sich und rufen ein größeres EPSP hervor
- Postsynaptische Potentiale breiten sich passiv aus
- sehr schnell, werden bei der Ausbreitung abgeschwächt
- Einfluss von Synapsen hängt von Position ab
- zwei EPSPs, die in rascher Folge ausgelöst werden, addieren sich und rufen ein größeres EPSP hervor
Elektrische Synapsen
(gap junctions)
- Direkter Ionenaustausch von Zelle zu Zelle
- Aus sogenannten Connexinen zusammengesetzt
- Porendurchmesser
< 2nm \rightarrowkleine Moleküle werden ausgetauscht - Austausch von Ionen (elektrische Leitung)
- Austausch von ,,second messengers'' (z.B.
Ca^{2+})
Räumlicher Aufbau
- Zytosol
- Membran
- Extrazell. Raum
- Membran
- Zytosol
Neurotransmitter
Neurotransmitter sind Substanzen, die an (chemischen) Synapsen ausgeschüttet werden und andere Zellen (Neuronen, Muskelzellen, etc.) spezifisch beeinflussen.
Neurotransmitter ...
- werden in Neuronen synthetisiert
- liegen in der präsynaptischen Endknöpfen vor und werden in genügend großer Menge freigesetzt, um eine spezifische Wirkung hervorzurufen
- ... entfalten dieselbe Wirkung bei exogener Applikation der Substanz
- ... können durch einen spezifischen Mechanismus wieder entfernt werden
Neurorezeptoren
Ionotrope Rezeptoren
- Chemisch gesteuerte Ionenkanäle in der postsynaptischen Membran
- Bei Bindung öffnet oder schließt sich der Ionenkanal und induziert dadurch augenblicklich das postsynaptische Potential
Metabotrope Rezeptoren
- Häufiger
- Wirkung langsamer und variabler
- Bindung des Neurotransmitter an G-Protein - Untereinheit löst sich im Zellinneren
- Bindet an Ionenkanal und löst AP aus, ...
- ... oder Synthese eines weiteren Botenstoffes (second messenger)
Die Catecholamine: Dopamin, Epinephrin, Norepinephrin
- sind Produkte eines gemeinsamen Biosyntheseweges (aus Tyrosin/Phenylanalin über L-Dopa)
- sind chemisch eng miteinander verwandt (gemeinsames Merkmal: Catecholring)
Das dopaminerge System
Dopamin: erregender oder hemmender Neurotransmitter
Rezeptoren: D1+D5 erregend, D2-D4 hemmend
Dopaminbahnen:
- Nigro-striatales System: Projektionen von Substantia nigra zu Basalganglien (u.a. Nucleus caudatus)
- Bewegungsinitialisierung und -koordinierung (extrapyramidales System)
- Ausfall: Parkinson
- Überfunktion: Hyperkinese/ Hypertonus, z.B. Huntington
- Mesolimbisches/mesocorticales System: Projektionen von ventralem Tegmentum zu höheren Hirnregionen, Großhirn und limbisches System
- Vermittlung von motivationell-emotionalen Einflüssen, Belohnung, Lernen und Gedächtnisbildung
- Überfunktion: Schizophrenie (?)
- Tubero-hypophyseales System: Projektionen von Hypothalamus zu Hypophyse
- Hormonausschüttung
Das noradrenerge System
Norepinethrin/Noradrenalin: Neurotransmitter im ZNS u. Sympathikus
Rezeptoren (=Adrenalin): \alpha_1 , \alpha_2 , \beta_1 , \beta_2 , \beta_3 (komplexe ,,second messenger'' Effekte)
- noradrenerge Neuronen im Hirnstamm, besonders im Locus Caeruleus
- Projektionen auf sympatische Neurone im Rückenmark, sowie in Hypothalamus, Thalamus, Cerebellum, limbisches System und Cortex
- Aufmerksamkeitssteigerung, führt zu vermehrter Erregung, Angst, Vigilanz; sympathische Aktivität
Die Indolamine: Serotonin
- Auch 5-Hydroxytryptamin (5-HT)
- Ausgangssubstanz Tryptophan
- Wird auch über die Nahrung aufgenommen: Walnüssen, Bananen, Tomaten, Kakao etc.
- Chemisches Merkmal: Indol-Doppelring
Das serotonerge System
Serotonin: Neurotransmitter im gesamten Nervensystem
Mindestens 14 verschiedene Rezeptoren - vielfältige Wirkungen im gesamten Nervensystem
- überall im Körper, 95% im Magen-Darm-Trakt
- serotonerge Neuronen im Hirnstamm, in den Raphé-Kernen
- Projektionen ähnlich universell wie beim noradrenergen System
- Funktionen vielfältig, insbesondere allgemeine Stimmung
Aminosäuren: Glutamat, Aspartat, Glyzin, GABA
- Im Kontrast zu Acetylcholin und Aminen, die i.d.R. nur in bestimmten Neuronen hergestellt werden können, sind Aminosäuren universelle zelluläre Bestandteile
- gehören zu den wichtigsten und am weitesten verbreiteten Neurotransmittern im ZNS
Glutamat:
Aspartat:
- erregender Neurotransmitter im ZNS, insbes. im Kleinhirn u. Hippocampus. Wirkt ähnlich wie Glutamat.

Glycin:
Gamma-Amino-Buttersäure (GABA):
Acetylcholin
- Erregender Neurotransmitter im zentralen und peripheren Nervensystem
- Vielfältige Rezeptoren: muscarinische (metabotrop) und nicotinische (ionotrop)
- Signalübertragung zwischen Motorneuronen und Muskelzellen (in motorischen Endplatten)
- Signalübertragung im autonomen Nervensystem
- Muscarinische Rezeptoren
- metabotrop
- Untertypen: M1, M2, M3, M4, M5
- weit verbreitet im Gehirn (besonders in verschiedenen Strukturen des Vorderhirns)
- Zielorgane des parasympathischen Systems
- Nicotinische Rezeptoren
- Ionotrop
- Muskelzellen
- sympathisches und parasympathisches Nervensystem
- Gehirn
- Rezeptoren an Muskelzellen und neuronale Rezeptoren sind pharmakologisch unterschiedlich
- Bsp: Rauchen: psychologische Effekte von Nicotin (im Gehirn) jedoch keine Muskelkontraktionen
Histamin
Neuroaktive Peptide
- große Zahl (mehr als 100)
- oft sowohl Hormon als auch Neurotransmitter
- Neuropeptide sind Spaltprodukte von größeren, inaktiven Vorstufen, diese werden im Zellkörper gebildet und anschließend zum Axonterminal transportiert
Neurotransmitter - Übersicht
| Neurotransmitter | Postsynaptischer Effekt | Vorläufer |
|---|---|---|
| Acetylcholin | Exzitatorisch | Cholin+Azetyl-CoA |
| Glutamat | Exzitatorisch | Glutamin |
| GABA | Inhibitorisch | Glutamat |
| Glyzin | Inhibitorisch | Serin |
| Catecholamine | Exzitatorisch | Tyrosin |
| Serotonin (5-HT) | Exzitatorisch | Tryptophan |
| Histamin | Exzitatorisch | Histidin |
| Neuropeptide | Exzitatorisch und Inhibitorisch | Aminosäuren |
Psychopharmaka, Neurotoxine und Drogen
Substanzen beeinflussen synaptische Übertragung
- Agonisten
- Erleichtern die Aktivierung der Synapsen eines bestimmten Neurotransmitters
- Antagonisten
- Hemmen die Aktivierung der Synapsen eines bestimmten Neurotransmitters
Wirkmechanismen Agonisten
- Neurotransmitter Synthese
\uparrow(z.B. durch Erhöhung der Menge von Vorläufersubstanzen) - Neurotransmitter Menge
\uparrowdurch Zerstörung abbauender Enzyme - Steigerung der Neurotransmitter-Freisetzung
- Bindung an, und damit Blockierung von, Autorezeptoren
- Blockierung von Abbau oder Wiederaufnahme von Neurotransmitter
- Bindung an und Aktivierung von postsynaptischen Rezeptoren
Wirkmechanismen Antagonisten
- Neurotransmitter Synthese
\downarrow(z.B. durch Zerstörung synthetisierender Enzyme) - Austreten von Neurotransmitter aus Vesikeln, was zur Zerstörung durch Enzyme führt
- Blockierung der Neurotransmitter-Freisetzung
- Aktivierung von Autorezeptoren
- Bindung an, und Blockierung von, postsynaptischen Rezeptoren
Beispiel: Psychopharmaka
Monoaminoxidase (MAO)-Hemmer zur Behandlung affektiver Störungen (Depression)
- Phenelzin, Tranylcypromin, Isocarboxazid
- Wirkprinzip
- MAO zerstört Neurotransmitter außerhalb der Vesikel.
- Durch MAO-Hemmung werden akut die Mengen an Noradrenalin, Dopamin und Serotonin erhöht.
- Erst durch adaptive Veränderungen in der Rezeptordichte und der Second-Messenger-Kette wird der klinische Effekt erreicht.
Beispiel: Neurotoxine
Atropin - Muskarinantagonist
z.B. Atropa belladonna (Tollkirsche)
-
Mittelalter
- beliebtes Gift in der Politik und bei Familienintrigen
- Kosmetik: Erweiterung der Pupillen
-
Moderne
- Augenarzt: Erweiterung der Pupillen, um das Innere der Augen besser sehen zu können
- Gegengift für cholinerge Agonisten
- Kreislaufstillstand oder Bradykardie
-
Symptome - Blockierung Parasympathicus
- Herzrasen, Bronchienerweiterung
- Pupillenweitung
- Hemmung Magen/Darmtätigkeit
blockiert M1-3 Acetylcholin-Rezeptoren
Beispiel: Drogen
Cocain - Monoamin-Wiederaufnahmehemmer
verstärkt Dopamin-, Norepinephrin- und Serotoninaktivität
Wirkung
- Euphorie, gesteigerte Leistungsfähigkeit
- Unterdrückung Hunger u. Müdigkeit
- in hohen Dosen: Angst, Paranoia
- Lokalanästhetikum
Gefährlichkeit
- zweitstärkstes Abhängigkeitspotential und physischer Schaden nach Heroin (Nutt et al., The Lancet 2007)
- durch schnelle Abfolge von Euphorie und Depression hohes Potential zu psychischer Abhängigkeit
Erythroxylum coca
- erstmalig isoliert in der Mitte des 19. Jahrhunderts
- Bis 1906 250mg/l in Coca-Cola (das sind 2-4 Dosen)
Glia-Zellen im Zentralnervensystem
- Vielfältige Funktion: Stützung (,,Bindegewebe''), Ernährung. Homöostase, Myelinbildung, Informationsverarbeitung, etc.
- stellen die Hälfte der Hirnzellen und 80% der Cortexzellen
Microgliozyten (Hortega-Zellen)
- sehr vielfältige Formen
- Amöboid beweglich
- Abräum- und Abwehrfunktion
Astrozyten
- kurzstrahlige Astrozyten in grauer Substanz
- Langstrahlige (fasrige) Astrozyten in weißer Substanz
- Gliafüßchen bilden geschlossene Schicht um Kapillaren
- Kontrolle Ionen- und Flüssigkeitsgleichgewicht
- Stütz- und Transportfunktion
- Abgrenzungsfunktion: um Kapillaren: Blut-Hirn-Schranke an Hirnoberfläche, Synapsen u. Ranvierschen Knoten
- Sind teilungsfähig und bilden Glianarben
Ependymzellen
- Auskleidung Hirnventrikel und Rückenmarkskanal
Oligodendrogliozyten
- eng an Neuronen angelagert
- Stoffwechelfunktion für Neuronen
- Bilden Markscheide für ZNS-Neuronen
Schwann-Zelle
- Eng an Neuronen angelagert
- Stoffwechselfunktion für Neuronen
- Bilden Markscheide für PNS Neuron
- Beteiligt an Nervenregeneration
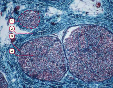
Periphere Nerven

- Nervenfaszikel
- Epineurum
- Perineurum
- Nervenfasern mit Endoneurum
- Zellkern der Schwann Zelle
- Neurofilamente
- Mikrotubuli
- Myelinscheide
- Axon
- Basalmembran
Synaptische Verbindung zu Effektoren
Motorische Endplatten: Chemische Synapsen, arbeiten mit Acetylcholin, verbinden Neuronen und Muskelfasern.
- ionotrop:
Ca^{2+}, K+, Na+ - Depolarisation
\rightarrowAktionspot. in Muskelzelle\rightarrowCa^{2+}-Einstrom\rightarrowKontraktion
Zentralnervensystem - Gehirn
Orientierung im Nervensystem
Gliederung des Gehirns
Verbindungen zur Außenwelt
- 12 Hirnnervenpaare
- über Rückenmark zum Rest des Körpers
Hirnnerven
- Telencephalon
- (I) N. olfactorius (sensorisch: Riechen)
- Diencephalon
- (II) N. opticus (sensorisch: Sehen)
- Mesencephalon
- (III) N. oculomotorius (motorisch: Augenmuskeln, Augenlid, Linse, Pupille)
- (IV) N. trochlearis (motorisch: Augenmuskeln)
- Metencephalon (Pons)
- (V) N. trigenimus (sensorisch: Gesicht, Nase, Mund, Zunge u.a.; motorisch: Kauen)
- (VI) N. abducens (motorisch: Augenmuskeln)
- (VII) N. facialis (sensorisch: Geschmack; motorisch: Speicheldrüsen, Mimik)
- Myencephalon (Medulla oblongata)
- (VIII) N. vestibulocochlearis (sensorisch: Gleichgewicht, Hören)
- (IX) N. glossopharyngeus (sensorisch: Geschmack, Mittelohr, Rachen (Schluckreflex) u.ä.; motorisch: Speichelfluss)
- (X) N. vagus (motorisch (parasympathisch): Eingeweide; motorisch: Kehlkopf und Rachen; sensorisch: Kehlkopf, Rachen, Eingeweide)
- (XI) N. accessorius(motorisch: Nackenmuskeln)
- (XII) N. hypoglossus (motorisch: Zunge)
Medulla oblongata (Myencephalon)
- enthält auf- und absteigende Faserbahnen
- Kerne der Hirnnerven VIII-XII (z.B. VIII- Hörnerv, X - Vagusnerv)
- Atem- und Kreislaufzentrum
- Erhöhung des intrakranialen Drucks (z.B. durch Blutungen oder Tumore) kann die Medulla komprimieren und zu Koma oder Tod führen!
- Menschen können nur mit der Medulla, ohne restliches Gehirn, weiterleben (tiefes Koma, Teilhirntod).
- Zentren für Nies-, Husten-, Schluck-, Saug- und Brechreflexe
- Formatio reticularis
Retikuläre Formation (Formatio reticularis)
- Die F. reticularis zieht sich durch Medulla, Pons und Mesencephalon/Diencephalon).
- Netzartige Struktur von Nervenbahnen und Gruppen von diffusen Kernen.
- Lebenswichtige Funktionen, wie Atmung, Kreislauf, Muskeltonus
- Abgrenzbare Kerne: Raphe-Kerne (serotonerges System) und Locus caeruleus (noradrenerges System).
- zeitlichen Koordinierung des gesamten Nervensystems
- Modulation von Schmerzempfinden und Emotionen, Schlaf-Wach-Rhythmus, Aufmerksamkeit
Pons (Brücke) - Teil des Metencephalons
- enthält auf- und absteigende Faserbahnen, die End- und Zwischenhirn mit Cerebellum, Medulla und Rückenmark verbinden
- Kerne der Hirnnerven V-VII (z.B. V - Trigenimus)
- bildet zusammen mit Cerebellum das Metencephalon, ist von diesem durch das IV Ventrikel getrennt
- retikuläre Formation
Cerebellum (Kleinhirn) - Teil des Metencephalons
- bildet zusammen mit Pons das Metencephalon, ist von diesem durch das IV Ventrikel getrennt
- Funktion: Steuerung der Motorik (Koordination, Feinabstimmung, unbewusste Planung); Erlernen von Bewegungsabläufen; kognitive Funktionen.
Cerebellarer Cortex
- enthält ca. 50% aller zentralen Neuronen
- fein gefältelt
- ca. 0.5 mm dick,
- Fläche 500 cm²
\approx50 - 75% der Cortexfläche
Kleinhirnstiele und Marklager
- enthält Nervenfasern
- fein verzweigt
- Im Marklager, auf jeder Seite 4 Kerne (Nuclei)
Cerebellarer Cortex (Kleinhirnrinde)
Zellen und Verschaltung
- Purkinje-Zellen - Zellen mit dem meisten Input (bis 200 000)
- Körner-Zellen: kleinste und häufigste Neurone im Gehirn (
\frac{3}{4}aller Neurone)
- Kletterfaser: aus unterer Olive (Medulla)
- Moosfaser: aus Rückenmark und Hirnstamm
Funktionsprinzipien
- Feedforward-Verarbeitung:
- Keine Rückkopplungsschleifen
- Output-Signale werden aus Input-Signalen kombiniert
- Keine intrinsische dynamische Aktivität
- Divergenz und Konvergenz:
- Input wird zunächst expandiert (Parallelfasern) und dann konvergiert (Purkinje-Zellen)
- Dadurch ergeben sich sehr viele Freiheitsgrade bei der Rekombination
- Modularität:
- Es gibt viele ähnliche Module (,,Rekombinationsmatrizen'') mit unterschiedlichem In- und Output
- Plastizität: Synapsen (und damit die ,,Rekombinationsmatrizen'')
- sind adjustierbar, sowohl vorübergehend, z.B. durch dopaminerge, serotonerge oder noradrenerge Beeinflussung, als auch dauerhaft (durch Hebb‘sches Lernen, vielleicht mit Hilfe der Kletterfasern)
Funktion
- Lernen
- Implizites Lernen / prozedurales Gedächtnis: in der Übertragungsmatrix des Kleinhirns werden die Details automatisierter Bewegungsabläufe gespeichert, die nicht mehr durch die Willkürmotorik (Großhirn) explizit festgelegt werden müssen.
- Assoziatives Lernen: bestimmte sensorische Eindrücke werden mit bestimmtem motorischem Output verbunden (z.B. Lidschlußreflex).
- Kognition
- Genaue Funktion unklar, aber Beteiligung an, zum Beispiel, Sprachverstehen und Sprechen wird vermutet.
Störungen
- Meist Ataxien, d.h. Störungen in der Bewegungskoordination.
- Nystagmus (Augenzittern),
- Rumpfataxie (Unfähigkeit sich im Stehen oder Sitzen aufrecht zu halten),
- Gangataxie (,,Betrunkenengang''),
- Dysmetrie (Hand erreicht nicht das Ziel beim Greifen etc.),
- Tremor,
- verwaschene oder undeutliche Aussprache,
- Störungen im fließenden Bewegungsablauf.
Mesencephalon (Mittelhirn)
- Wichtige Rolle im auditorischen, visuellen sowie extrapyramidalen motorischen System.
- enthält auf- und absteigende Faserbahnen, die End- und Zwischenhirn mit Cerebellum, Medulla und Rückenmark verbinden
- Kerne der Hirnnerven III und IV (Augenbewegungen)
- retikuläre Formation
Tectum (Mittelhirndach, Vierhügelplatte)
Colliculi superiores
- Teil der Sehbahn
- steuern optische Reflexe
Colliculi inferiores
- Teil der Hörbahn
Tegmentum (Mittelhirnhaube)
- Nucleus ruber (roter Kern)
- Teil des extrapyramidalen motorischen Systems
- steuern Muskeltonus und Körperhaltung
- Kern der Hirnnerven III und IV
- Aquädukt
- Teil des Ventrikelsystems
- Periaquäduktales Grau
- Steuerung von Emotionen
- Substantia nigra
- Teil des extrapyramidalen motorischen Systems
- wichtiger Teil des Dopaminsystems
- retikuläre Formation, diverse auf- und absteigende Fasertrakte
Diencephalon (Zwischenhirn)

- Umschließt 3. Ventrikel, im Zentrum des Gehirns
- Sensorisches Zentrum, Ursprung II. Hirnnerv (N. opticus)
- besteht aus:
- Thalamus (größter Teil)
- Epithalamus
- Subthalamus
- Hypothalamus
- Metathalamus
Thalamus
- ,,Eingangskontrolle'' des Großhirns - Umschaltstation sensorischer Information
- Besteht aus spezifischen und unspezifischen Kernen (Unterscheidung nicht immer eindeutig)
- Spezifische Kerne: sind jeweils mit einem abgrenzbaren Bereich der Großhirnrinde verbunden und übertragen sensorische und motorische (aus Basalganglien und Kleinhirn) Information an das Großhirn
- Unspezifische Kerne: modulieren spezifische Thalamuskerne, werden ihrerseits aus den Basalganglien, dem Kleinhirn und der retikulären Formation angesteuert. Wichtigster: N. reticularis
- ca. Form und Größe einer Walnuss
- blau: erregend
- rot: hemmend
Funktion
- Durchgangsstation für (fast) alle Information, die die Großhirnrinde erreicht
- Modulation und ,,Gating'' dieser Information in Abhängigkeit von allgemeinen Bedingungen, wie z.B. Aufmerksamkeit
- Modulation und ,,Gating'' kann Information aus der Peripherie (,,first oder relay'') oder aus anderen Großhirnarealen (,,higher order relay'') betreffen.
Hypothalamus
- Lage: unterhalb des Thalamus zwischen den Großhirnhälften
- 2 Hälften, geteilt durch 3. Ventrikel
- sehr sichere Blutversorgung - kaum Schlaganfälle
Funktionen
- Regelung der Körpertemperatur (Versuchstiere können nach Zerstörung des Hypothalamus die Körpertemperatur nicht mehr halten)
- Regelung des Wasser- und Mineralhaushaltes
- Regelung der Hormonausschüttung der Hypophyse
- Regelung der physiologischen Reaktion auf Erregungszustände (z.B. Erröten, Schweißausbruch, Herzklopfen)
- Appetitregelung (Läsion des Hypothalamus kann sowohl zu Appetitlosigkeit, als auch zu unstillbarem Appetit führen; Appetitszügler wirken hier)
- Steuerung von Schlaf und zirkadianen Rhythmen
- Beeinflussung von Sexualverhalten, Aggression, Flucht usw
Der Hypothalamus ist das oberste Regulierungszentrum des ANS
Metathalamus
Mediale Kniehöcker
-
- Neuron der Sehbahn (Input von der Retina)
\rightarrowAuditorisches System
Laterale Kniehöcker
-
- Neuron der Hörbahn (Input vom Colliculus inf.)
\rightarrowVisuelles System
Endhirn (Telencephalon, Großhirn)
- Im Menschen: größter Hirnabschnitt
- Verantwortlich für die komplexesten Funktionen:
- Willkürmotorik
- Sensorik
- Entscheidungsfindung
- Sprache
- Gedächtnis
- Emotionen
- usw.
- Besteht aus:
- Großhirnhälften (stark gefurcht und durch Kommisuren verbunden)
- Basalganglien (Stammganglien)
Großhirnhälften
- Sulci (Furchen) und Gyri (Windungen)
- Große Sulci/Gyri in allen Gehirnen wiedererkennbar, aber variabel
- Kleine Strukturen sehr variabel
- Grobe Einteilungen in 4 Lappen (Lobi) je Hemisphäre
- Beide Großhirnhälften sind durch Querbahnen (Kommissuren) verbunden:
- Corpus Callosum (Balken)
- Commisura anterior
- Commisura fornicis
Cerebraler Cortex (Großhirnrinde)
- bildet die Oberfläche der Großhirnhälften
- Beim Menschen stark gefaltet (gyrenzephales Gehirn)
- andere gyrenzephale Hirne: die meisten Säuger, z.B. Schwein, Schaf, Pferd, Wal
- nicht gefaltete (lissenzephale) Hirne z.B. bei Nagern und Vögeln
- enthält Zellkörper von Nervenzellen, daneben kurze Axone und Gliazellen
- Oberfläche beim Menschen: ca.
1800 cm^2 - Nach histologischem (d.h. zellarchitektonischem) Feinbau Unterscheidung Allocortex (3 Schichten) und Isocortex (6 Schichten)
- Entwicklungsgeschichtlich einteilbar in Paläocortex , Archicortex und Neocortex
Der Neocortex
- Cortex allgemein kann in Schichten untergliedert werden, die durch Art und Anzahl von Zellkörpern definiert sind.
- Der (phylogenetisch junge) Neocortex ist als Isocortex aufgebaut, d.h. er hat 6 abgrenzbare Schichten.
- Die Ausprägung der Schichten variiert zwischen Hirnarealen (
\rightarrowParzellierung) - 90 % der Großhirnoberfläche ist Neo- bzw. Isocortex
Archi- und Paläocortex

- Aufgebaut als Allocortex, d.h. 3-schichtig
- Paläocortex (ältester Teil): dunkelgrün
- Archicortex (jüngerer Teil): blau/lila
- Übergangszonen zum Neocortex: hellgrün
- Amygdala: orange
Cortex-Parzellierung
- Die corticale Struktur spiegelt funktionelle Spezialisierung wider
- Struktur ist gekennzeichnet durch Anordnung und Dichte verschiedener Zelltypen (Zytoarchitektur), Verteilung myelinisierter Faserbahnen (Myeloarchitektur), Verbundenheit (Konnektivität) mit entfernten Teilen des Gehirns, Vorkommen und Verteilung von Neurotransmittern, Neurorezeptoren und anderen Stoffen, und vieles andere mehr
- Oftmals lassen sich Gebiete (Areale) auf dem Cortex definieren, die strukturell und funktionell relativ homogen und durch scharfe Grenzen voneinander geschieden sind
\rightarrowParzellierung - Es gibt verschiedene Ebenen der Parzellierung, die zueinander in (evt. hierarchischer) Beziehung stehen.
Zytoarchitektonische Parzellierung
Die Basalganglien (Stammganglien)
- Nucleus caudatus
- Putamen
- Globus pallidus
- Amygdala (Mandelkern)
Wichtig für das Ausführen von Willkürbewegungen (extra-pyramidales motorisches System) zusammen mit Diencepahlon und Mittelhirn
Der Hippocampus
- über Fornix (Faserbündel) mit Corpus mammilare des Hyptothalamus verbunden
- Grenzt rostral an Amygdala und ventral an entorhinalen Cortex
- Verbindung mit Temporallappen, G. parahioopcamalis, cingulärem Cortex, Amygdala, Hypothalamus, Thalamus und Hirnstamm
Die Amygdala (Mandelkern)
- Input von Riechhirn, Temporrallappen, cuingulärem Cortex, Hyptothalamus, Thalamus, Hirnstamm
- Output zum Hyptothalamus, Thalamus, Frontallappen, Hirnstamm
- Wichtige Rolle bei Emotionen, insbesondere Angst und Furcht
Die weiße Masse (Marklager)
- Enthält Nervenfasern und Glia
- Assoziationsfasern verbinden Areale derselben Hemisphäre: U-Fasern, kurze Assoziationsfasern, lange Assoziationsfasern (zwischen Lappen)
- Projektionsfasern verbinden den Cortex mit anderen Strukturen, wie Hirnstamm, Basalganglien oder Rückenmark.
- Kommissuren verbinden beide Hemisphären (z.B. Corpus callosum)
Hirnhäute
- Skalp
- Schädel
- Hirnhaut 1: Dura mater
- Hirnhaut 2: Arachnoidea
- Subarachnoidalraum (mit Cerebrospinalflüssigkeit und Blutgefäßen)
- Hirnhaut 3: Pia mater (überzieht Oberfläche von Hirn und Rückenmark)
- Gehirn Oberfläche (Kortex)
Hirnhäute: Meningen
Hirnhautentzündung (Meningitis)
- meist Entzündung der Arachnoidea und der Pia mater (Leptomeningitis)
- kann durch Bakterien, Viren oder physikalische Einwirkungen (z.B. radioaktive Strahlung) hervorgerufen werden
- Symptome/Diagnose: Fieber, Übelkeit, Verwirrtheit, schmerzreflektorische Nackenmuskelversteifung beim Versuch den Kopf nach vorn zu beugen, daneben natürlich Liquoruntersuchung
Blutversorgung des Gehirns
Zufuhr über
- innere Halsschlagader (A. carotis)
- Blutversorgung des Auges
- Versorgung der vorderen und mittleren Hirnarterie (A. cerebri anterior/media) (je 2x)
- Wirbelschlagader (A. vertebralis) (je 2x)
- A. basilaris (nur 1x)
- Blutversorgung von Hirnstamm und Kleinhirn
- Versorgung der hinteren Hirnarterie (A. cerebri posterior) (2x)
- A. basilaris (nur 1x)
- Versorgungsgebiete der vorderen (blau), mittleren (rot) und hinteren (gelb) Hirnarterien.
- Die 6 Hirnarterien sind an der Hirnbasis durch einen Ring verbunden, dadurch kann ein Verschluss einer der 4 zuführenden Arterien ausgeglichen werden
Venöse Abfluss
- Venen erreichen Hirnoberfläche und Subarachnoidalraum
- Über Brückenvenen in venöse Sinus (blutgefüllte Räume in der Dura mater)
- Abfluss über Vv. jugulares internae
Das Ventrikelsystem
Der Liquor zirkuliert in den 4 Hirnventrikeln und dem Zentralkanal des Rückenmarks sowie im Subarachnoidalraum von Hirn und Rückenmark
Seitenventrikel
- III. Ventrikel (im Diencephalon)
- Aquädukt (im Mesencephalon)
- IV. Ventrikel (im Hirnstamm)
- Zentralkanal (Rückenmark)
der Liquor (Nervenwasser)
- Gesamtvolumen: 130-150 ml
- Wird in den Ventrikeln (durch Kapillargeflechte der Pia mater) mit einer Rate von ca. 30 ml/h gebildet.
- Resorption über Arachnoidalzotten im Sinus sagittalis superior ins venöse Blut.
Hydrozephalus
- bei Kleinkindern: durch angeborene Fehlbildung oder Enzaphalitis kann der Liquor nicht abfließen
\rightarrowdas Gehirn wird komprimiert und Schädelknochen geweitet - Therapie: Verbindung zwischen Ventrikel und Subarachnoidalraum durch Katheter
- Diagnosemethode: Lumbalpunktion
- Liquor wird zwischen 3 und 5 Lendenwirkel entnommen (dort ist kein Rückenmark mehr)
- Untersuchung des Nervenwassers auf Leukozyten, Erythozyten oder Bakterien sowie bestimmten Substanzen







































